コラム・キャンペーンcolumn・campaign
Column 歯周病
「毎日欠かさず歯を磨いていますか?」とお聞きすれば、ほとんどの方が「はい」と答えられるでしょう。では、「そのケアで100%汚れが落ちている自信はありますか?」とお聞きするといかがでしょうか。実は、歯科業界ではよく知られた驚きの事実があります。それは、「歯ブラシ一本だけでは、お口の汚れ(プラーク)の約6割しか落とせない」ということです。どんなに高級な電動歯ブラシを使っても、どんなに時間をかけて磨いても、物理的にブラシの毛先が届かない場所が4割も残ってしまうのです。

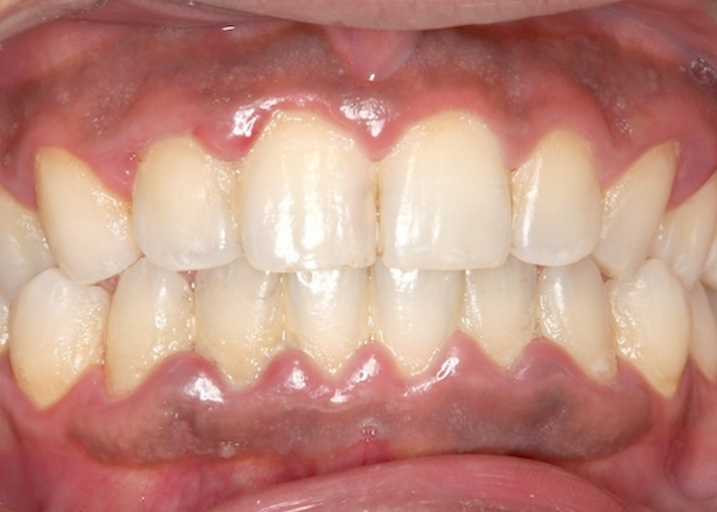
上記の写真で汚れ(プラーク)が付いてるところはどこかわかりますか?
歯と歯ぐきのキワに白色のドロドロしたものがついているが汚れ(プラーク)です。唇が邪魔をして歯ブラシが適切に当たっていませんね。

あと4割とはどこでしょう?
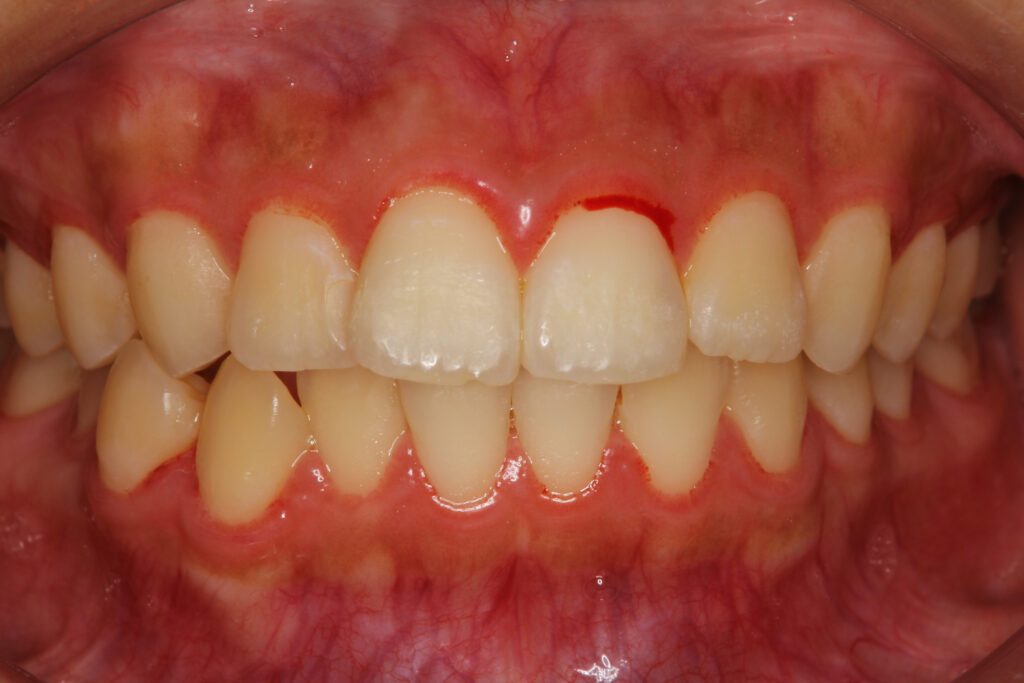
それは「歯と歯の間」や「歯ぐきの溝(歯周ポケット)」です。上記の写真で歯と歯の間にびっしり汚れ(プラーク)がつまっていますね。むし歯や歯周病の多くは、この「磨き残しの4割」から発生します。つまり、歯ブラシだけで磨いている状態では、お口の中で炎症を引き起こし、最終的には大切な歯を失う原因、あるいは深刻な口臭の原因となります。
この「4割の磨き残し」をゼロにするための習慣を身につけていただきたいと考えています。そこで欠かせないのが「フロス」や「歯間ブラシ」といった補助用具です。これらを正しく併用することで、汚れの除去率は90%以上にまで高まります。

上記の写真は汚れ(プラーク)をしっかり落とした状態です。歯ぐきに炎症があるとはじめは出血したり赤く腫れていますが心配いりません。継続して歯磨きやフロス・歯間ブラシを使って汚れをしっかり落としていただくと徐々に歯ぐきが引き締まって出血も治まり腫れも引いていきます。
さらに、もう一つ重要なのが「道具のコンディション」です。皆さんは、今お使いの歯ブラシをいつ新しくしましたか?「毛先が開いてきたら」という基準の方が多いかもしれませんが、実は見た目に変化がなくても、歯ブラシには明確な「寿命」があります。劣化した道具で磨き続けることは、効率が悪いだけでなく、お口の環境を悪化させてしまうことさえあるのです。
まずは意外と知らない基本からお話します。
歯ブラシ交換の時期は「1ヶ月に1回」が鉄則な理由
なぜ、多くの歯科が「1ヶ月に1回」の交換を強く勧めるのでしょうか。それには、見た目だけでは分からない「科学的な理由」があります。
清掃力の低下

一見、毛先が開いていないように見えても、1ヶ月間毎日使用された毛先は、素材の弾力(コシ)が失われています。歯ブラシの汚れを落とす原理は、毛先の反発力を利用してプラークを弾き飛ばすことにあります。この弾力がなくなると、いくら磨いても汚れが歯の表面に残るようになり、結果として磨き残しが増えてしまうのです。
細菌の繁殖

お口の中には数千億個もの細菌が住んでいます。歯ブラシを使用した後は水洗いすると思いますが、毛束の根元にはどうしても水分や栄養分(プラークの残り)が残留します。湿った状態が続く歯ブラシの毛先には、1ヶ月で1億個以上の細菌が付着すると言われており、これは「便器よりも汚い」という比喩で語られることもあるほどです。不衛生な歯ブラシでお口を磨くことは、お掃除をしているつもりが、逆に菌を塗り広げていることになりかねません。
歯ぐきへのダメージ
弾力がなくなった古い毛先は、本来の「しなり」がなくなるため、汚れを落とそうとしてつい力が入りすぎてしまいます(オーバーブラッシング)。これが習慣化すると、歯ぐきを下げてしまったり、歯の根元を削ってしまったりする原因となります。覚えやすいように「毎月1日は歯ブラシ交換の日」と決めることを推奨しています。
「歯間ブラシ」と「フロス」の重要性と使い分け

「フロスと歯間ブラシ、どっちを使えばいいの?」という質問をよくいただきます。結論から言うと、「お口の状態によって使い分ける、あるいは併用する」のが正解です。
まず、フロスは「歯と歯がぴたっと密着している部分」のケアに最適です。特に若年層や、歯ぐきが下がっていない健康な状態の方にはフロスが必須です。むし歯の多くは、この隣接面(歯の間)から発生します。また、フロスには「指に巻くタイプ」と「ホルダー付き(ウルトラフロスなど)」がありますが、初めての方は奥歯まで届きやすいホルダー付きから始めるのが継続のコツです。
次に、歯間ブラシは「加齢や歯周病によって歯ぐきが下がり、歯の根元に隙間が見えてきた場所」に非常に有効です。歯間ブラシの清掃効率は極めて高く、サイズさえ合っていれば、フロスよりも短時間で効率的に汚れを落とすことができます。ただし、歯と歯の間の隙間に対して大きすぎるサイズを押し込むと歯ぐきを傷つけたり歯ぐきが下がる原因になるため、サイズがわからない方は歯科医院でフィッティングしてもらうことが重要です。歯間ブラシも使っていくと毛先がボロボロにすり減っていきます。すり減ったブラシでは、プラークを除去できません毛先がボロボロになっているように見えなくても、少しずつ消耗していきます。歯ブラシと同様に1カ月に一度は交換してくださいね。

なぜこれほどまでに歯間ケアが重要なのか。それは、歯周病菌が「酸素を嫌う」性質を持っているからです。歯と歯の間や、歯ぐきの溝の中は、酸素が届きにくい絶好の繁殖場所です。
ここにフロスや歯間ブラシを通すことは、汚れを落とすだけでなく、「酸素を送り込んで菌の活動を弱める」という非常に重要な役割も果たしているのです。
- 「毎月1日」を歯ブラシ交換記念日にする
- 「寝る前」の1分だけフロス・歯間ブラシを追加する
- 「3〜6ヶ月に1回」歯科でプロのチェックを受ける
特に、どんなにセルフケアを頑張っても、どうしても「歯石(プラークが石灰化したもの)」は自分では落とせません。この歯石を定期的に歯科医院で除去することが、歯周病進行のブレーキになります。
新しいケア習慣を始めましょう!
これまで「歯ブラシ一本」で頑張ってこられた方も、この記事をきっかけに「歯ブラシ+α」のケアをしていきましょう🦷🪥✨
予防歯科

