コラム・キャンペーンcolumn・campaign
Column 審美歯科
指しゃぶりは生後2〜3カ月ころからよく、見られるようになります。
この頃は、口の感覚が最も周りの物を知る手段なので何でも口に入れて確かめようとします。
この時期の乳児期の指しゃぶりは、反射的、本能的なもので、口を動かす練習をしているんので、“自然な行為”として心配はいりません。
幼児期になると、言葉によって自分の気持ちを伝えられるようになるため、指しゃぶりの必要性はなくなっていきます。
それにもかかわらず、幼児期になっても指しゃぶりが継続している場合は、以下の理由が考えられます。
子どもが指しゃぶりをしてしまう原因
まず、指しゃぶりが癖になって無意識にやってしまう状況。
次に、ストレスや緊張に対して指しゃぶりをすることによってセルフコントロールをしている状況の2つが主に考えられます。
いずれにしても、3歳くらいまでは指しゃぶりをしているお子さんは多く、心身の発達、周囲の環境への慣れとともに徐々に少なくなっていきます。
就寝時の指しゃぶりなど、癖的な指しゃぶりで多くのお子さんに見られますが、お子さんが眠るまでお母様が手を握っていてあげるのも効果的です。
幼児期後半になると、言葉の発達も進み、保育園や幼稚園などのでの体験などを通して、友達や他の人たちとの交流も深まり社会性も育まれ、徐々に指しゃぶりは減っていくものです。
友達との交流は、生活の充実、社会性の向上につながりお子さん自身で“指しゃぶりを止めよう”という意識につながっていきます。
3歳を過ぎての指しゃぶりは歯並びにも影響が出てくるので、止めさせようと対処していくことは必要です。
指しゃぶりの歯並びへの影響について
1〜2歳半の幼児期前半は比較的歯並びに影響が出ることは少ないです。
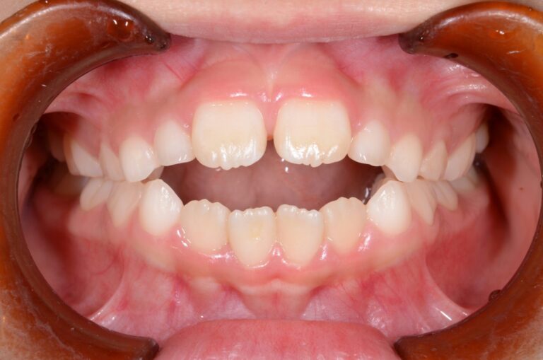
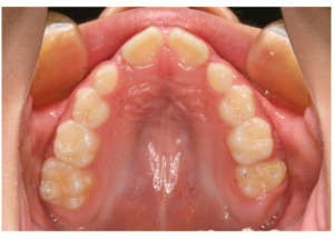
しかし、しゃぶり方や時間が長ければ、上の前歯が前に出てきたり(上顎前突)、奥歯の歯並びが狭くなったり(狭窄歯列弓)してきます。
3歳になり、奥歯が全部生えそろったときに指しゃぶりが長時間続くと、徐々に前歯が前に傾斜し始め、歯並びに影響が出始めます。
指を吸い込むとき上顎の歯並びのアーチがほっぺたの筋肉を収縮させるので、狭いアーチ(V字歯列弓)になっていきます。
3歳を過ぎても指しゃぶりが続くと、噛み合わせの状態も変化してきます。
上下の歯をカチッと噛み合わせたとき上下の前歯の間に隙間ができてしまい、前歯を噛み合わす事が出来ない=開咬(かいこう)の状態になります。
こうなると上唇もめくれ上がり“お口ポカン”の状態になり、口呼吸になっていきます。
さらに、上下の前歯の間から舌も吐出してきて舌癖(ぜつへき)も誘発します。
そして口元も出てきて、顔貌にも変化が表れます。
5,6歳の永久歯の生え代わりの時期に指しゃぶりを続けていると、上の歯が前に出た”出っ歯“(上顎前突)の状態になります。
・上顎前突になる原因
・口呼吸
・舌の動き
・姿勢
・遺伝
・指しゃぶり
一番多い原因は口呼吸で、これはアレルギーなどによる鼻づまりが関係しています。
次に多いのが、舌を前方に出す飲み込み方、これは上顎前突の殆どのお子さんがやっています。
他には姿勢の悪さ、指しゃぶりなどがあります。
開咬

V字歯列

指しゃぶりへの対処について
1.乳児期
乳児期の指しゃぶりは哺乳から食べ物を自分で食べていくための移行期間であり、必要なものだと思います。
身近なおもちゃも舐めても安全なもので、清潔にしておいてください。
また、長時間にわたる指しゃぶりは、授乳の問題もあるかもしれません。
授乳の時間が赤ちゃんにとって不足していることもありますので、時間やミルクの量を増やすなど検討してみても良いと思います。
2.幼児期前半
この時期は“指しゃぶり”の原因を考えて対処していきます。
周りとのコミュニケーションが少ない、生活環境が合わなくてストレスがある、お子さんの性格的なものなど、よく考えてあげてください。
そして指しゃぶりを止めさせようとして、きつく叱るのはやめましょう。
仮に止めたように見えても爪咬みなど、他の代償行為に走りがちです。
この時期のお子さんは指しゃぶりを悪いことだとは思っていないので、隠れてするようになることもあります。
外に遊びに行く、手を使った遊びを教えるなどお母さんとの関わりのうちに、少しずつ少なくなっていくことが多いです。
3.幼児期後半
この時期は社会性が発達し、「指しゃぶりは恥ずかしいこと」という気持ちも出てきます。
ただし、実際に止められるかは周囲の人たちのサポートが必要です。
そして、友達と遊ぶ機会を増やすなど社会性の向上を目指します。
習い事なども、無理がないか?親の押し付けになっていないか考えてみてもいいと思います。
指しゃぶりを止めようと頑張っているお子さんには、励ましの声掛けや応援をしてあげてください。
また、指しゃぶりについて“良くないこと”と思っていないお子さんには、「指しゃぶりをしていると、こんなになるんだよー」と実際の絵や写真を使って見せてあげると効果があります。
まとめ
指しゃぶりを続けていると、さまざまな歯列不正を起こしかねません。
もちろん、指しゃぶりだけが歯列不正の原因ではないので、指しゃぶりをしなければ、歯列不正が起こらないというわけではありません。
ですが、指しゃぶりはお子さんの歯列不正の原因となる口腔習癖のトップに挙げられます。
大きくなっても指しゃぶりを続けているなら、やめるのがおすすめです。
子どもの矯正

